嵌入器官征的启示

嵌入_嵌入器官征 阳性 肿块来源判断

CT扫描显示一巨大的不均质密度软组织肿块(间质瘤),十二指肠管腔被向肿块牵拉,牵拉处十二指肠壁似嵌入肿块内(箭头所示),器官(十二指肠)嵌入器官征阳性,提示该肿块起源于十二指肠

嵌入_嵌入器官征 阳性 肿块来源判断

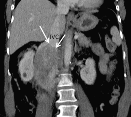
增强CT冠状位成像,箭头指示:下腔静脉(IVC)被嵌在一个呈不均匀强化的软组织肿块内,器官(下腔静脉)嵌入器官征阳性,提示该肿块起源于下腔静脉,最终被证实为原发性平滑肌肉瘤

嵌入器官征是医学影像技术用来判断腹膜后肿块来源的一个重要征象。关于嵌入器官征判断肿块来源的思维方法,或许可以这样表述:毗邻空腔器官的肿块,若肿块是压迫空腔器官,空腔器官因受压表现为呈新月状改变,或是呈肿块嵌入空腔器官内状态,则提示该肿块来源于空腔器官之外;若空腔器官的部分壁,被牵拉陷入肿块之内,空腔器官嵌入肿块内,则提示肿块来源于该空腔器官。

有了以上概念以后,可以帮助我们更好准确地判断盆腔肿块与膀胱的关系。请看以下几个案例。

嵌入器官征 阳性 肿块来源判断_嵌入

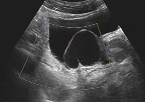
输尿管囊肿声像图:从静态声像图可见,囊性肿块嵌入在膀胱腔内,运用嵌入器官征思维方法,提示该囊性肿块来源于膀胱之外

嵌入器官征 阳性 肿块来源判断_嵌入

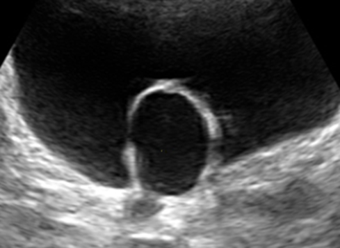
精囊囊肿声像图:囊性肿块嵌入在膀胱腔内,运用嵌入器官征思维方法,提示该囊性肿块来源于膀胱之外

嵌入器官征 阳性 肿块来源判断_嵌入

左卵巢囊腺瘤声像图:囊性肿块嵌入在膀胱腔内,运用嵌入器官征思维方法,提示该囊性肿块来源于膀胱之外

嵌入器官征是医学影像技术判断毗邻空腔器官的肿块,是来源于该空腔器官还是来源于该空腔器官之外的一个重要影像征象,是包括超声医师在内的影像医师应该掌握的一个实用技巧。

简单小结:当肿块毗邻空腔器官时,若肿块嵌入空腔器官内,嵌入器官征阴性,提示肿块来源于该空腔器官之外;若空腔器官嵌入肿块内,嵌入器官征阳性,提示肿块来源于该空腔器官。

参考文献: M, Singh D, A. The organ sign. Abdom (NY). 2017 Jan;42(1):330-331.

往期阅读

© 版权声明

相关文章

暂无评论

none
暂无评论...